Now in our 15th year of bringing you beautiful imagery from biomedical science every day

Search the archive of over 4000 images

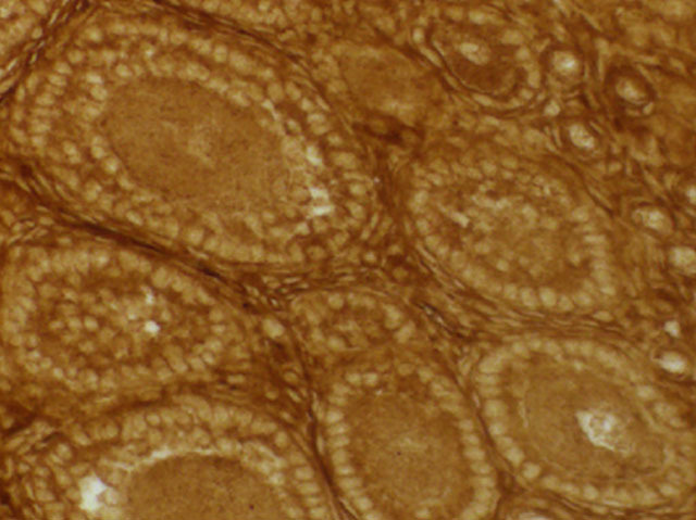
Floating Follicles
20 April 2016

Floating Follicles

When scientists keep cells and tissues in a lab we often say they’re ‘in a dish’. While this works for individual cells, if you want to study a tissue it’s sometimes less effective. A dish is flat, unlike the 3D environment inside a body where tissues normally grow, so structures might not develop properly. Solutions include growing the tissue inside a thick gel, or a flask that’s constantly turning. The second type is called simulated microgravity, and it keeps the samples near-weightless, like astronauts in orbit. Unfortunately, it doesn’t work for all cell types. Scientists took healthy sections of mouse ovary called follicles (pictured) and found that keeping them in simulated microgravity meant they didn't survive as long as those in a dish, and didn’t function as well. Understanding why this happened will show us how our bodies work in low gravity conditions, like in space.

Written by Ash Redhouse White

Search The Archive

Submit An Image

Follow on Tumblr

Follow on Instagram

What is BPoD?

BPoD stands for Biomedical Picture of the Day. Managed by the MRC Laboratory of Medical Sciences until Jul 2023, it is now run independently by a dedicated team of scientists and writers. The website aims to engage everyone, young and old, in the wonders of biology, and its influence on medicine. The ever-growing archive of more than 4000 research images documents over a decade of progress. Explore the collection and see what you discover. Images are kindly provided for inclusion on this website through the generosity of scientists across the globe.

Read More

BPoD is also available in Catalan at www.bpod.cat with translations by the University of Valencia.