Now in our 15th year of bringing you beautiful imagery from biomedical science every day

Search the archive of over 4000 images

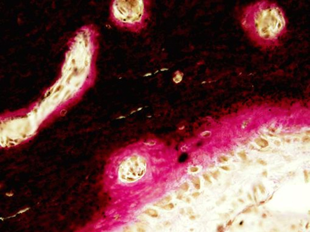
Banking Bones
07 September 2014

Banking Bones

Have you saved-up enough bone tissue for your retirement? By your mid-20s, your bone mass and density will have peaked, only to drop with age as bones lose more minerals than they can take up. Load-bearing exercise, like running, rather than swimming, and a healthy diet can stave off bone-wasting diseases like osteoporosis. Gentle stress on the bones helps new bone-cells, or osteoblasts (pink), to develop and prompts the soft unmineralised bone matrix (orange-brown) that the cells produce to harden into solid bone (black) by fixing minerals like calcium and phosphate. Failure of this crucial step, as in some genetic disorders like neurofibromatosis type I, can lead to frequent bone fractures and excessive growth of soft bone tissue, treated by remedial surgery or amputation when severe. Future therapies with enzymes like asfotase alpha, which encourages calcium uptake in bones, are undergoing clinical trials and hold promise for effective and less invasive treatment.

Written by Tristan Farrow

Search The Archive

Submit An Image

Follow on Tumblr

Follow on Instagram

What is BPoD?

BPoD stands for Biomedical Picture of the Day. Managed by the MRC Laboratory of Medical Sciences until Jul 2023, it is now run independently by a dedicated team of scientists and writers. The website aims to engage everyone, young and old, in the wonders of biology, and its influence on medicine. The ever-growing archive of more than 4000 research images documents over a decade of progress. Explore the collection and see what you discover. Images are kindly provided for inclusion on this website through the generosity of scientists across the globe.

Read More

BPoD is also available in Catalan at www.bpod.cat with translations by the University of Valencia.