Now in our 15th year of bringing you beautiful imagery from biomedical science every day

Search the archive of over 4000 images

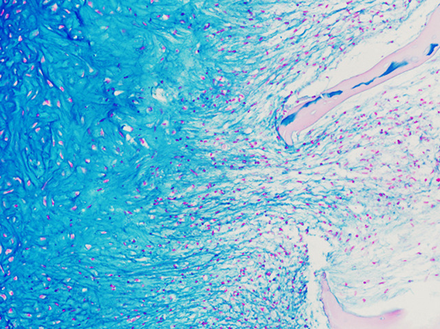
Creating Cartilage
12 May 2014

Creating Cartilage

Human fat is one of the most practical sources of stem cells. But coaxing these precursors to become cartilage – the flexible connective tissue between our joints and elsewhere – has so far proven difficult. Now researchers have managed to do it by mimicking a process that occurs naturally in the body. By exposing stem cells in a dish to a protein called factor-β, the scientists induced them to undergo condensation, a DNA-compacting process that defines growth and differentiation of cells, as they do in the body before starting to make cartilage. Pictured is a section of the lab-grown tissue with its swirling blue-stained proteoglycan – a key component of cartilage – and bone substrate (the long pale pink projections). The ability to create functioning cartilage could have tremendous clinical advantages, accelerating the development of new treatments for cartilage repair.

Written by Matthew Morgan

Search The Archive

Submit An Image

Follow on Tumblr

Follow on Instagram

What is BPoD?

BPoD stands for Biomedical Picture of the Day. Managed by the MRC Laboratory of Medical Sciences until Jul 2023, it is now run independently by a dedicated team of scientists and writers. The website aims to engage everyone, young and old, in the wonders of biology, and its influence on medicine. The ever-growing archive of more than 4000 research images documents over a decade of progress. Explore the collection and see what you discover. Images are kindly provided for inclusion on this website through the generosity of scientists across the globe.

Read More

BPoD is also available in Catalan at www.bpod.cat with translations by the University of Valencia.