Now in our 15th year of bringing you beautiful imagery from biomedical science every day

Search the archive of over 4000 images

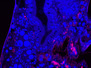
Anti-cancer Tuberculosis Treatment
14 December 2014

Anti-cancer Tuberculosis Treatment

The bacteria that cause tuberculosis are excellent at avoiding destruction by host cells. Indeed, the immune system’s only recourse is to surround infected cells (coloured cyan) with a huddle of immune cells – called a granuloma – in an attempt to prevent the infection spreading. But the bugs have another trick according to research performed in a fish model of the disease: They need oxygen to grow, and as oxygen levels drop (indicated by red staining) at the core of the granuloma, new blood vessels start to infiltrate. These vessels provide not only oxygen for growth but escape routes for the bacteria to spread. It’s very like what goes on inside tumours, where low oxygen levels promote blood vessel infiltration allowing cancer cells to escape (metastasise). So similar are the processes in fact that anti-cancer treatments designed to stop blood vessel growth prevented the spread of bacteria within the infected fish.

Written by Ruth Williams

Search The Archive

Submit An Image

Follow on Tumblr

Follow on Instagram

What is BPoD?

BPoD stands for Biomedical Picture of the Day. Managed by the MRC Laboratory of Medical Sciences until Jul 2023, it is now run independently by a dedicated team of scientists and writers. The website aims to engage everyone, young and old, in the wonders of biology, and its influence on medicine. The ever-growing archive of more than 4000 research images documents over a decade of progress. Explore the collection and see what you discover. Images are kindly provided for inclusion on this website through the generosity of scientists across the globe.

Read More

BPoD is also available in Catalan at www.bpod.cat with translations by the University of Valencia.