Now in our 15th year of bringing you beautiful imagery from biomedical science every day

Search the archive of over 4000 images

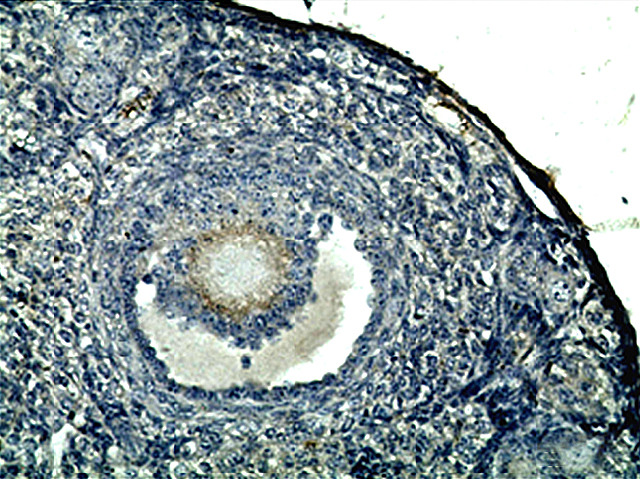
Fertility After Chemo
19 January 2014

Fertility After Chemo

Chemotherapy and radiation often have the devastating side-effect of leaving patients sterile, but stem cell research is providing promising avenues that could help chemotherapy patients to recover their fertility. While men undergoing chemotherapy can store their sperm before they begin treatment, this isn’t an option for prepubescent boys who’ve not yet begun to produce sperm. But even young boys have spermatogonial stem cells, and research has found that extracting these cells before cancer treatment and transplanting them afterwards can get sperm production restarted. There’s good news for women with chemotherapy-induced infertility too. Stem cells taken from human amniotic fluid that surrounds and protects a growing foetus have been shown to restore ovarian function in infertile mice. Pictured is a section of an ovary in which natural fertility hormones are being produced two months after stem cell transplantation.

Written by Cathleen O'Grady

Search The Archive

Submit An Image

Follow on Tumblr

Follow on Instagram

What is BPoD?

BPoD stands for Biomedical Picture of the Day. Managed by the MRC Laboratory of Medical Sciences until Jul 2023, it is now run independently by a dedicated team of scientists and writers. The website aims to engage everyone, young and old, in the wonders of biology, and its influence on medicine. The ever-growing archive of more than 4000 research images documents over a decade of progress. Explore the collection and see what you discover. Images are kindly provided for inclusion on this website through the generosity of scientists across the globe.

Read More

BPoD is also available in Catalan at www.bpod.cat with translations by the University of Valencia.