Now in our 15th year of bringing you beautiful imagery from biomedical science every day

Search the archive of over 4000 images

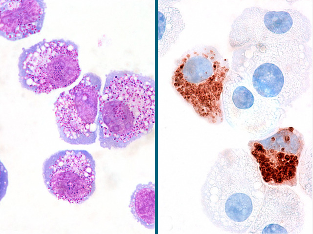
Mast Makers
25 June 2013

Mast Makers

Successfully protecting us from harm is a full-time job for our immune system and the range of different cells it employs. Among these are mast cells (pictured right) and basophils (in the left panel), which are involved in inflammation during processes like allergic reactions. Both contain numerous sacs of useful substances, visible here as small dots; recognising a harmful molecule causes the cells to release their contents into the bloodstream. These include proteins like histamine, which helps white blood cells to gain access to afflicted areas by making small blood vessels more permeable. Understanding how these important cells are produced may be useful in treating immune disorders. Research in mouse tissue has shown that both cell types are born in the bone marrow, and subsets of bone marrow cells, when treated with specific growth factors, can give rise to mast cells and basophils in the laboratory.

Written by Emmanuelle Briolat

Search The Archive

Submit An Image

Follow on Tumblr

Follow on Instagram

What is BPoD?

BPoD stands for Biomedical Picture of the Day. Managed by the MRC Laboratory of Medical Sciences until Jul 2023, it is now run independently by a dedicated team of scientists and writers. The website aims to engage everyone, young and old, in the wonders of biology, and its influence on medicine. The ever-growing archive of more than 4000 research images documents over a decade of progress. Explore the collection and see what you discover. Images are kindly provided for inclusion on this website through the generosity of scientists across the globe.

Read More

BPoD is also available in Catalan at www.bpod.cat with translations by the University of Valencia.