Now in our 15th year of bringing you beautiful imagery from biomedical science every day

Search the archive of over 4000 images

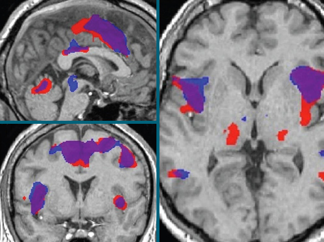
Brain Week Red Hot Pain
30 May 2013

Red Hot Pain

Red hot chilli peppers are a must for curry connoisseurs, but leave the mouth burning and eyes watering. The active ingredient is capsaicin that triggers pain receptors in the mouth and skin, sending electrical signals to the brain that register as pain. People with neuropathic pain experience the same prickly burning pain, incessantly. Neuropathic pain has no obvious cause, but is a common side-effect of nerve damage and can cause hypersensitivity to other pain stimuli such as heat. Here, MRI scans of the side (top left), back (bottom left) and top (right) of the head show which brain areas become activated when a heat stimulus is applied to the arm. Heat alone activates areas marked blue, but when capsaicin is first applied briefly to the skin, activation spreads into the red (overlapping areas, purple). Capsaicin-induced pain could provide a new model to test novel pain-killers for neuropathic pain.

Written by Caroline Cross

Search The Archive

Submit An Image

Follow on Tumblr

Follow on Instagram

What is BPoD?

BPoD stands for Biomedical Picture of the Day. Managed by the MRC Laboratory of Medical Sciences until Jul 2023, it is now run independently by a dedicated team of scientists and writers. The website aims to engage everyone, young and old, in the wonders of biology, and its influence on medicine. The ever-growing archive of more than 4000 research images documents over a decade of progress. Explore the collection and see what you discover. Images are kindly provided for inclusion on this website through the generosity of scientists across the globe.

Read More

BPoD is also available in Catalan at www.bpod.cat with translations by the University of Valencia.