Now in our 15th year of bringing you beautiful imagery from biomedical science every day

Search the archive of over 4000 images

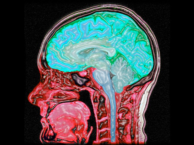
Brain Pain
05 September 2012

Brain Pain

Migraine affects 15 per cent of UK adults, leaving these individuals incapacitated by throbbing head pains, nausea and sensitivity to light. The cause is still unclear, though abnormal brain activity is thought to be involved, in particular overexcited pain pathways. Visualising human brain activity, using functional magnetic resonance imaging (a variant of conventional magnetic resonance imaging, pictured), demonstrates how migraine sufferers respond differently to pain. A brain region called the anterior cingulate cortex controls how we perceive pain. Activity in this region was higher in migraine patients than in healthy individuals, despite both groups being subjected to and perceiving the same level of pain. Migraine sufferers may acquire this different brain response to compensate for their overexcited pain pathways, bringing their pain perception down to that of healthy individuals. Understanding how a brain under the burden of migraine copes in painful circumstances may expose new targets for migraine treatment.

Written by Lux Fatimathas

Search The Archive

Submit An Image

Follow on Tumblr

Follow on Instagram

What is BPoD?

BPoD stands for Biomedical Picture of the Day. Managed by the MRC Laboratory of Medical Sciences until Jul 2023, it is now run independently by a dedicated team of scientists and writers. The website aims to engage everyone, young and old, in the wonders of biology, and its influence on medicine. The ever-growing archive of more than 4000 research images documents over a decade of progress. Explore the collection and see what you discover. Images are kindly provided for inclusion on this website through the generosity of scientists across the globe.

Read More

BPoD is also available in Catalan at www.bpod.cat with translations by the University of Valencia.