Now in our 15th year of bringing you beautiful imagery from biomedical science every day

Search the archive of over 4000 images

Teaching Self-Defence
21 June 2012

Teaching Self-Defence

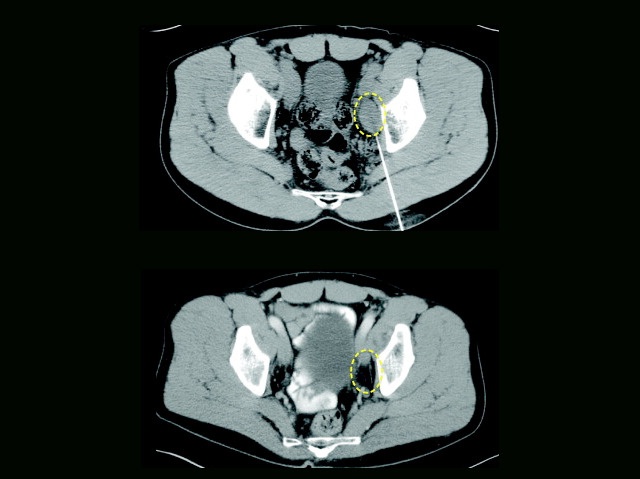
T cells – members of our body’s defence team – roam around detecting and killing infected or damaged cells. To make certain they don’t harm healthy tissue, they only inject their deadly poisons once there is a perfect match between their unique receptor [a protein on their surface] and markers on ‘corrupted’ cells. Cancer evades attack because it looks very similar to normal cells. So researchers have taken a patient’s T cells, genetically-modified their receptor so it can react with cancer and then returned them. This is a horizontal scan through the belly of a patient with advanced cancer (pelvic bones, and backbone at the bottom of scan in white). The cancer (circled in yellow) seen before T cell treatment (top) cannot be detected two years later (bottom). Although good news, it doesn’t work every time so researchers are working on how to optimise the T cell receptor for each patient.

Written by Claire Worrall

Search The Archive

Submit An Image

Follow on Tumblr

Follow on Instagram

What is BPoD?

BPoD stands for Biomedical Picture of the Day. Managed by the MRC Laboratory of Medical Sciences until Jul 2023, it is now run independently by a dedicated team of scientists and writers. The website aims to engage everyone, young and old, in the wonders of biology, and its influence on medicine. The ever-growing archive of more than 4000 research images documents over a decade of progress. Explore the collection and see what you discover. Images are kindly provided for inclusion on this website through the generosity of scientists across the globe.

Read More

BPoD is also available in Catalan at www.bpod.cat with translations by the University of Valencia.