Now in our 15th year of bringing you beautiful imagery from biomedical science every day

Search the archive of over 4000 images

Mirror Magic
30 April 2012

Mirror Magic

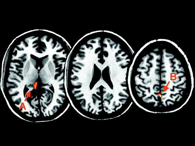
During a stroke, reduced blood supply to part of the brain often results in paralysis on one side of the body. If the mind ‘learns’ that a limb cannot move, paralysis then becomes a habit, even when connections from brain to limb are restored. Stroke recovery is improved with mirror box therapy, where an illusion of the paralysed limb moving is produced from the mirror-image of movement in the matching, healthy limb. How this works is not clear but scientists have started to unravel the regions of the brain involved using functional Magnetic Resonance Imaging (fMRI), which employs magnetic fields to observe changes in brain activity. Two regions, labelled A and B in the image, are activated. Both are important for self-awareness and memory, but not for muscle movement. Could mirror box therapy be helping the brain to ‘unlearn’ paralysis by making it conscious that a limb can move?

Written by Julie Webb

Search The Archive

Submit An Image

Follow on Tumblr

Follow on Instagram

What is BPoD?

BPoD stands for Biomedical Picture of the Day. Managed by the MRC Laboratory of Medical Sciences until Jul 2023, it is now run independently by a dedicated team of scientists and writers. The website aims to engage everyone, young and old, in the wonders of biology, and its influence on medicine. The ever-growing archive of more than 4000 research images documents over a decade of progress. Explore the collection and see what you discover. Images are kindly provided for inclusion on this website through the generosity of scientists across the globe.

Read More

BPoD is also available in Catalan at www.bpod.cat with translations by the University of Valencia.