Now in our 15th year of bringing you beautiful imagery from biomedical science every day

Search the archive of over 4000 images

Hide and Seek
20 March 2012

Hide and Seek

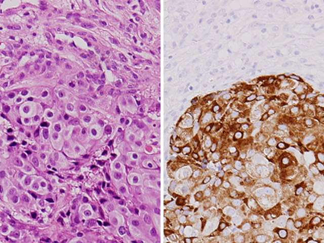
Cancer behaves according to the cell type from which it originates. Treatments tailor-made for different cancers can be more effective than a blanket approach which can kill healthy cells. This relies on identifying the original cell type. Cancer cells shed from their source can metastasize [traffic to other organs] and occasionally these secondary cancers are detected without ever finding the source. Pink and purple dyes (left) help to highlight the enlarged cancer cells in this patient sample (< 1 mm across). But to reveal the cancer’s origin, requires immunohistochemistry. A sliver of tumour tissue is flooded with a specialised antibody, a protein that paints the cells brown only when it binds to its specific target. This tumour (right) contains a breast-specific protein, mammaglobin. In this study scientists developed a ’protein fingerprint’ based on several antibodies, which identified the primary cancer type and so informed its best treatment.

Written by Claire Worrall

Search The Archive

Submit An Image

Follow on Tumblr

Follow on Instagram

What is BPoD?

BPoD stands for Biomedical Picture of the Day. Managed by the MRC Laboratory of Medical Sciences until Jul 2023, it is now run independently by a dedicated team of scientists and writers. The website aims to engage everyone, young and old, in the wonders of biology, and its influence on medicine. The ever-growing archive of more than 4000 research images documents over a decade of progress. Explore the collection and see what you discover. Images are kindly provided for inclusion on this website through the generosity of scientists across the globe.

Read More

BPoD is also available in Catalan at www.bpod.cat with translations by the University of Valencia.