Now in our 15th year of bringing you beautiful imagery from biomedical science every day

Search the archive of over 4000 images

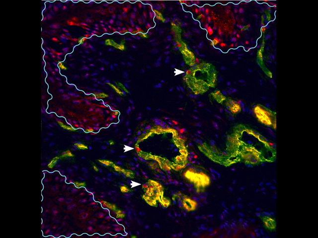
Blood Budding
21 February 2012

Blood Budding

In a silently shifting network blood vessels grow and reorganise throughout our lives. Not only do they supply blood to our vital organs they appear to provide a roadmap for overlying nerves. Here, blood vessels are seen end-on (green/yellow) in a cross section of bladder wall from a mouse. The animals were supplied with VEGF -a protein known to activate growth of new blood vessels. By highlighting proliferating cells (dyed red), as expected, new vessels can be seen budding from old (arrowed) – a process called angiogenesis. But the researchers also found that inflamed areas (blue lined) with a lot of nerves, had also grown. It seems that VEGF is responsible for the redistribution of nerve cells that happens as a result of bladder inflammation. By probing the complex connections between blood vessels and nerves, scientists are moving towards dulling the discomfort of painful bladder conditions.

Written by Hayley Birch

Search The Archive

Submit An Image

Follow on Tumblr

Follow on Instagram

What is BPoD?

BPoD stands for Biomedical Picture of the Day. Managed by the MRC Laboratory of Medical Sciences until Jul 2023, it is now run independently by a dedicated team of scientists and writers. The website aims to engage everyone, young and old, in the wonders of biology, and its influence on medicine. The ever-growing archive of more than 4000 research images documents over a decade of progress. Explore the collection and see what you discover. Images are kindly provided for inclusion on this website through the generosity of scientists across the globe.

Read More

BPoD is also available in Catalan at www.bpod.cat with translations by the University of Valencia.