Now in our 15th year of bringing you beautiful imagery from biomedical science every day

Search the archive of over 4000 images

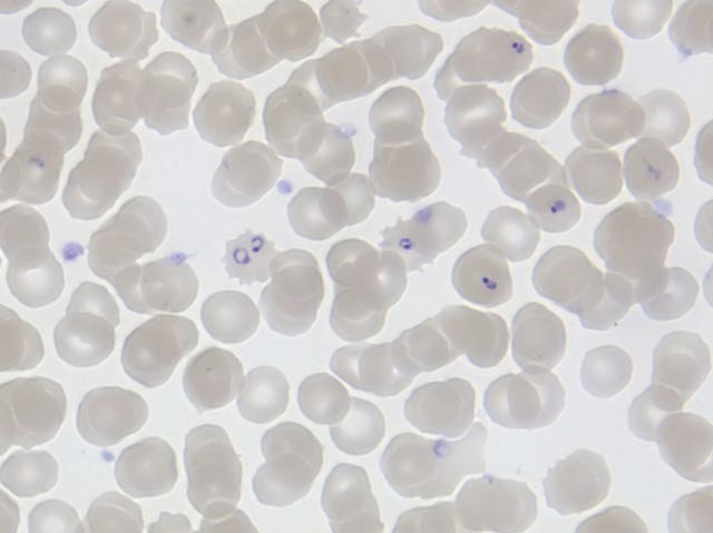
Death Toll Recount
10 February 2012

Death Toll Recount

Malaria is a major cause of death in tropical and sub-tropical areas. And according to research published last week, the disease accounts for a quarter of all infant (<5 years) deaths in Africa. Carried by mosquitos, the protozoan parasite (Plasmodium, pictured here among red blood cells) is injected into the victim’s bloodstream when the insect bites. A recurring cycle of liver and red blood cell infection ensues leading to fever, organ damage and often death. Systematic global data analysis reveals that more than twice as many people have died of malaria over the past three decades than formerly estimated. It seems that it has killed more people in the five to fifty year-old age-group than previously thought. One explanation is that malarial fatalities in this group were previously misdiagnosed. The received wisdom that survival beyond five in an endemic area means you’re immune, could be partially to blame.

Written by Lindsey Goff

Search The Archive

Submit An Image

Follow on Tumblr

Follow on Instagram

What is BPoD?

BPoD stands for Biomedical Picture of the Day. Managed by the MRC Laboratory of Medical Sciences until Jul 2023, it is now run independently by a dedicated team of scientists and writers. The website aims to engage everyone, young and old, in the wonders of biology, and its influence on medicine. The ever-growing archive of more than 4000 research images documents over a decade of progress. Explore the collection and see what you discover. Images are kindly provided for inclusion on this website through the generosity of scientists across the globe.

Read More

BPoD is also available in Catalan at www.bpod.cat with translations by the University of Valencia.