Now in our 15th year of bringing you beautiful imagery from biomedical science every day

Search the archive of over 4000 images

Essential Brains
04 December 2012

Essential Brains

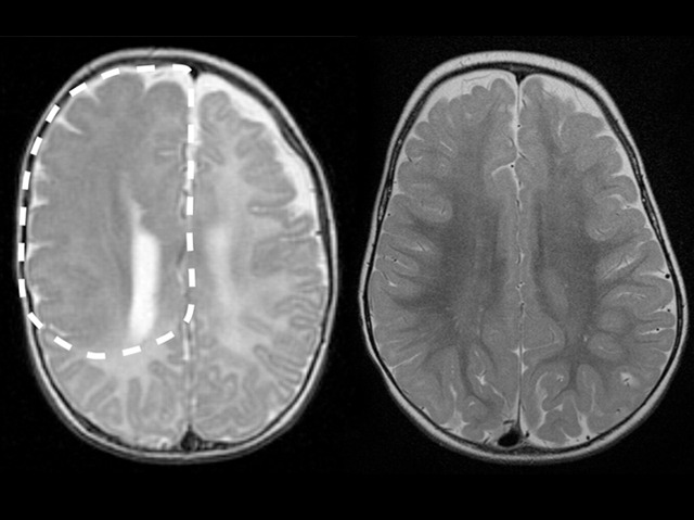
Our brain is the control centre for everything we do, think and feel. Malformations in the brain can be disastrous and leave the sufferer incapacitated. Hemimegalencephaly is a rare brain malformation in which one side of the brain is abnormally large, seen here highlighted by the dashed line on the left, and causes severe epileptic seizures. The deformity is caused by mutations in the genome of individual brain cells during development. Currently surgery is the most successful treatment for severe symptoms, but for some patients this can mean having the entire affected half of their brain removed. While the remaining healthy side of the brain may gradually take over functions that have been lost, the procedure is immensely invasive. Scientists are now investigating the gene mutations sustained by the developing brain cells in the hope of uncovering better ways to treat such debilitating conditions in the future.

Written by Mary-Clare Hallsworth

Search The Archive

Submit An Image

Follow on Tumblr

Follow on Instagram

What is BPoD?

BPoD stands for Biomedical Picture of the Day. Managed by the MRC Laboratory of Medical Sciences until Jul 2023, it is now run independently by a dedicated team of scientists and writers. The website aims to engage everyone, young and old, in the wonders of biology, and its influence on medicine. The ever-growing archive of more than 4000 research images documents over a decade of progress. Explore the collection and see what you discover. Images are kindly provided for inclusion on this website through the generosity of scientists across the globe.

Read More

BPoD is also available in Catalan at www.bpod.cat with translations by the University of Valencia.