Now in our 15th year of bringing you beautiful imagery from biomedical science every day

Search the archive of over 4000 images

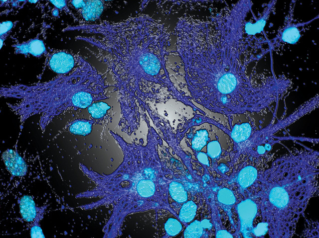
Picture of Health
10 November 2012

Picture of Health

Stem cells are seen here changing into star-shaped brain cells – in an experiment that also transformed science into art. The beauty of scientific images from this and other research projects involving stem cells inspired molecular biologist Mina Gouti to print a selection onto canvas for public viewing. As part of her exhibition, groups of children and writers were invited to describe what they saw, using their imagination. One seven-year-old boy likened the image here to moonlit raindrops falling onto a window, while a writer saw the pattern on an aunt’s favourite summer dress. Twenty images, some of them digitally enhanced for artistic purposes, were shown in the Athens exhibition, followed by a second exhibition with twice as many. Now, Mina is hoping to organise a future exhibition in London.

Written by Mick Warwicker

Search The Archive

Submit An Image

Follow on Tumblr

Follow on Instagram

What is BPoD?

BPoD stands for Biomedical Picture of the Day. Managed by the MRC Laboratory of Medical Sciences until Jul 2023, it is now run independently by a dedicated team of scientists and writers. The website aims to engage everyone, young and old, in the wonders of biology, and its influence on medicine. The ever-growing archive of more than 4000 research images documents over a decade of progress. Explore the collection and see what you discover. Images are kindly provided for inclusion on this website through the generosity of scientists across the globe.

Read More

BPoD is also available in Catalan at www.bpod.cat with translations by the University of Valencia.