Now in our 15th year of bringing you beautiful imagery from biomedical science every day

Search the archive of over 4000 images

Wiping Out Fear
22 October 2012

Wiping Out Fear

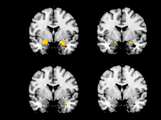
Stressful situations, such as war or accidents, leave behind mental as well as physical scars. When fearful memories surface again they can cause problems such as post-traumatic stress disorder (PTSD). Scientists have discovered that there is a crucial window in which painful memories can be altered and even erased altogether. Using lab simulations, researchers evoked fearful memories in two groups of volunteers. These scans reveal activity in a region of the brain called the amygdala, the seat of fear. The upper images are from volunteers recalling their fearful memory, showing strong brain activity in the amygdala (shown as yellow). The lower images are from volunteers who received a simple psychological treatment while recalling their fear. They show little or no activity, suggesting the fearful memories may have been wiped out. Although it's still experimental, this kind of approach could help to erase painful memories in the future.

Written by Kat Arney

Search The Archive

Submit An Image

Follow on Tumblr

Follow on Instagram

What is BPoD?

BPoD stands for Biomedical Picture of the Day. Managed by the MRC Laboratory of Medical Sciences until Jul 2023, it is now run independently by a dedicated team of scientists and writers. The website aims to engage everyone, young and old, in the wonders of biology, and its influence on medicine. The ever-growing archive of more than 4000 research images documents over a decade of progress. Explore the collection and see what you discover. Images are kindly provided for inclusion on this website through the generosity of scientists across the globe.

Read More

BPoD is also available in Catalan at www.bpod.cat with translations by the University of Valencia.